Dr Santiago Arias
  • Telf.: 963 333 464

Dr. Santiago Arias - CLÍNICA DENTAL
Dr. Santiago Arias - CLÍNICA DENTAL
Dr. Santiago Arias - CLÍNICA DENTAL
Dr. Santiago Arias - CLÍNICA DENTAL
Dr. Santiago Arias - CLÍNICA DENTAL
Dr. Santiago Arias - CLÍNICA DENTAL
Dr. Santiago Arias - CLÍNICA DENTAL

Solicita visita online

Día y fecha sujetos a confirmación a través de e-mail.



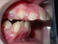
Odontopediatría y ortopedia dento-facial

En nuestra Clínica somos especialistas en el tratamiento de los más pequeños de la casa. Te ofrecemos tratamientos basados en la excelencia y la naturalidad, que realcen tu sonrisa respetando el crecimiento y desarrollo de los dientes y la cara.

Somos, desde hace más de 10 años, centro receptor de pacientes especiales referidos por el SERVASA (Servicio Valenciano de Salud), niños con deformidades o malformaciones cráneo-faciales.

Disponemos de los medios más avanzados en control de la conducta y manejo psicológico en pediatría, así como de las técnicas de anestesia adecuadas para que tu tratamiento sea agradable, sencillo y eficaz.







Ortopedia de avance mandibular, antes y después del tratamiento.