Odontología - Escultura Dental
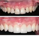
La escultura dental es una técnica que permite modificar pequeños defectos de forma, color o posición de los dientes, mediante el uso de resinas compuestas (composites) que se pegan a la superficie del diente por adhesión química. No precisa usar anestesia.
